Close

Bệnh lý cột sống

Bệnh lý cột sống

THOÁT VỊ ĐĨA ĐỆM CỔ

ĐẠI CƯƠNG
Những vấn đề cần lưu ý về thoát vị đĩa đệm cổ:
1- Ở vùng cổ, rễ thần kinh chui ra trên chân cung của đốt sống cùng tên (trái với ở cột sống thắt lưng, do có 8 rễ thần kinh cổ nhưng chỉ có 7 đốt sống cổ).
2- Rễ thần kinh chui ra qua lỗ liên hợp nằm gần ngay dưới bề mặt của chân cung.
3- Khoảng gian đốt sống nằm gần phía dưới của chân cung (không giống vùng thắt lưng).
HỘI CHỨNG RỄ THẦN KINH CỔ (BỆNH LÝ RỄ THẦN KINH CỘT SỐNG CỔ)
Do những vấn đề đã đề cập ở trên, thoát vị đĩa đệm cổ sẽ chèn ép vào rễ thần kinh chui ra qua lỗ thần kinh tại cùng tầng thoát vị (thoát vị đĩa đệm cổ C6-7 sẽ gây bệnh lý rễ thần kinh C7). Các dấu hiệu đặc trưng của hội chứng rễ thần kinh cổ mô tả ở bảng 1.

Bảng 1: Hội chứng đĩa đệm cổ.

Bệnh lý rễ thần kinh C4 không phổ biến, có thể gây đau cổ không lan theo rễ.
Bệnh lý rễ thần kinh C6 bên trái (do thoát vị đĩa đệm cổ C5-6) đôi khi có biểu hiện đau như nhồi máu cơ tim. Chèn ép rễ thần kinh C8 và T1 có thể gây hội chứng Horner bán phần.
Bệnh cảnh điển hình của thoát vị đĩa đệm cổ là triệu chứng biểu hiện gây đánh thức bệnh nhân vào buổi sáng, mà không kèm yếu tố chấn thương hay stress.

LÂM SÀNG
Bệnh lý rễ
-Các dấu hiệu tổn thương neuron vận động thấp (lower motor neuron):
+Yếu một nhóm cơ (myetome group) một bên
+Khối cơ và trương lực: Có thể có teo cơ và giật cơ không tự chủ
-Cảm giác: do chèn ép rễ, mất cảm giác sẽ theo dermatome của rễ chi phối
-Các phản xạ căng cơ
-Dấu hiệu cơ học: lực đè lên đầu sẽ gây ra triệu chứng rễ

Các dấu hiệu của tổn thương tủy (bệnh lý tủy)
-Các dấu hiệu của neuron vận động cao, thường ở chi dưới:
+Yếu chi, có thể không đi kèm teo cơ hoặc giật cơ
+Co cứng (spasticity): kiểm soát chân kém khi đi bộ, tăng trương lực cơ chi dưới gây di chuyển kiểu kéo cắt (scissor-like movement) khi đi lại
-Cảm giác: bất kỳ sự mất cảm giác nào dưới tầng tổn thương sẽ thể hiện theo kiểu tủy sống:
+Mất cảm giác hoàn toàn
+Kiểu Brown-Sequard: mất cảm giác kim đâm một bên, mất cảm giác rung và tư thế khớp đối bên
+Hội chứng tủy trung tâm: mất cảm giác ở chi trên, cảm giác chi dưới ít bị ảnh hưởng hơn chi trên
+Phản xạ bệnh lý: Phản xạ Hoffmann, dấu Babinski, clonus gót chân

Các dấu hiệu hữu ích trong đánh giá bệnh lý rễ thần kinh cổ
Hầu hết các thoát vị đĩa đệm cổ đều gây hạn chế vận động cổ do đau. Động tác ngửa cổ thường gây đau tăng lên khi có bệnh lý đĩa đệm cổ (một số ít bệnh nhân đau khi gập cổ). Một số bệnh nhân làm giảm đau bằng cách nâng cánh tay và chụm bàn tay chạm vào vùng lưng hay đỉnh đẩu (dấu giảm đau bằng dạng tay). Có thể có dấu Lhermitle (cảm giác giống điện giật lan xuống cột sống).

Dấu hiệu khác
Các biểu hiện bên dưới đây đặc hiệu nhưng không nhạy để phát hiện dấu hiệu chèn ép rễ thần kinh cổ.
1- Dấu Spurling: đau lan theo rễ xuất hiện khi người khám đè mạnh tay lên vùng đỉnh đầu trong khi đầu nghiêng về bên đau (đôi khi kết hợp yêu cầu bệnh nhân ngửa cổ). Triệu chứng xuất hiện do gây hẹp lỗ liên hợp và làm cho đĩa đệm lồi thêm. Được sử dụng tương tự như dấu Lasègue trong thoát vị đĩa đệm thắt lưng.
2- Kéo dãn cột sống cổ: kéo ở tư thế nằm ngửa với trọng lượng 10-15kg khi bệnh nhân có triệu chứng bệnh lý rễ thần kinh (kéo lên hàm dưới và chẩm). Các triệu chứng rễ thần kinh giảm hay mất là dấu hiệu dương tính.
3- Nghiệm pháp dạng vai: bệnh nhân ngồi, nhấc tay lên đầu. Giảm hoặc mất triệu chứng rễ là dương tính. Tương đối nhạy và đặc hiệu.

HÌNH ẢNH HỌC

MRI
Là xét nghiệm lựa chọn đầu tiên để chẩn đoán. Độ chính xác thấp hơn Myelography/CT có tiêm thuốc cản quang (MRI có độ chính xác khoảng 85-90% do chi cho hình ảnh lỗ liên hợp từ khá đến tốt), nhưng là xét nghiệm không xâm lấn. Với bệnh lý tủy, MRI có hiệu quả trên 95% về chẩn đoán.

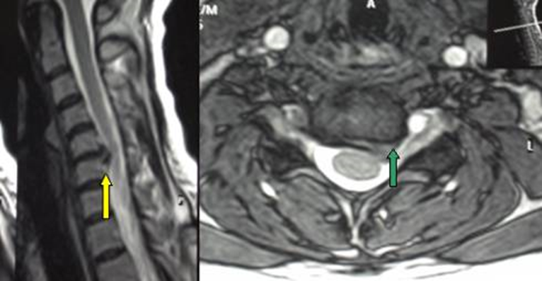
Hình 1. Thoát vị đĩa đệm cổ C5-C6 chèn ép rể C6 bên trái

CT VÀ MYELOGRAPHY-CT
Chỉ định: Khi không thực hiện được MRI, khi cần xem chi tiết về xương.
CT: thường xem rõ ở tầng C5-6, thay đổi ở tầng C6-7 (do bị nhiễu bởi vai bệnh nhân và phụ thuộc vào thể trạng bệnh nhân) và không rõ ở tầng C7-T1.
Myelography/CT: là xét nghiệm xâm lấn, trong rất ít trường hợp bệnh nhân cần nhập viện khi chụp. Chẩn đoán chính xác bệnh đĩa đệm cổ tới 98%

ĐIỀU TRỊ
Trên 90% bệnh nhân bị bệnh lý rễ thần kinh cổ cấp tính do thoát vị đĩa đệm cổ có thể cải thiện mà không cần phải phẫu thuật. Sự thoái lui của lồi đĩa đệm có thể thấy được trên MRI hoặc CT. Điều trị bảo tồn bao gồm: giảm đau đầy đủ, thuốc chống viêm (NSAIDs hay steroid trong thời gian ngắn) và kéo cột sống cổ ngắt quãng (ngày kéo 2-3 lần, mỗi lần 10 – 15 phút, tăng dần trọng lực đến 5-8 kg).
Phẫu thuật được chỉ định nếu điều trị bảo tồn thất bại hay khiếm khuyết thần kinh tiến triển mặc dù đã điều trị bảo tồn.
Xử lý bệnh lý tủy/ hội chứng tủy trung tâm liên quan đến thoát vị đĩa đệm cổ cấp tính vẫn còn tranh luận, vì diễn biến tự nhiên thường thuận lợi cho đa số trường hợp. Tuy nhiên, một số bệnh nhân hồi phục kém và bị khiếm khuyết thần kinh vĩnh viễn cho dù đã phẫu thuật cấp cứu.
Có hai phương pháp mổ là lối trước và lối sau.
LẤY NHÂN ĐỆM CỘT SỐNG CỔ BẰNG LỐI TRƯỚC KÈM GHÉP XƯƠNG (ACDF)
Lối trước vào tiếp cận được cột sống cổ C3-7.
Ưu điểm so với lối sau:
1- An toàn khi lấy bỏ các chồi xương.
2- Ghép vào khoang liên đốt sống đủ khả năng cố định cột sống (so với tỷ lệ bán trật 10% ở lối sau).
3- Là cách duy nhất có thể lấy thoát vị đĩa đệm trung tâm.
Bất lợi so với lối sau: bất động tại tầng phẫu thuật gây co kéo khoảng gian đĩa đệm tầng kế cận. Nếu có ghép xương, một số phẫu thuật viên cho bệnh nhân mang nẹp cổ cứng (ví dụ như nẹp cổ Philadelphia) 6 – 12 tuần. Phẫu thuật nhiều tầng có thể làm tổn thương các vi mạch của thân đốt sống giữa các vị trí lấy nhân đệm.

Chọn lựa vật liệu ghép
Xương tự thân (thường lấy ở mào chậu), xương đồng loại hay vật liệu thay thế xương (hydroxylapatite) hoặc vật liệu tổng hợp (ví dụ: PEEK hoặc khung titan) nhồi chất liệu tạo xương. Vật liệu thay thế xương tự thân giúp tránh các vấn đề tại vị trí lấy xương, nhưng có tỷ lệ bị hấp thu cao hơn. Đã có những trường hợp bị nhiễm HIV từ xương ghép lấy từ xác vào năm 1985, tuy nhiên sau đó, nhờ vào ý thức cao về vấn đề nhiễm AIDS và sự cải thiện đáng kể trong các xét nghiệm kháng thể, sàng lọc cẩn thận người hiến tạng nên không ghi nhận thêm trường hợp nào tương tự.

Sử dụng protein tạo xương (Bone Morphogenic Proteins-BMP)
Sử dụng BMP trong ACDF chưa được FDA phê chuẩn, nhưng đã được sử dụng ngoài chỉ định kê toa (off- label). Tỷ lệ biến chứng 23-27% đã được báo cáo (bao gồm khó nuốt sau mổ hoặc khó thở do phù nề, thường là tạm thời) so với 3% đối với các trường hợp không sử dụng BMP. Nếu sử dụng, khuyến cáo sử dụng liều nhỏ hơn liều dùng ở thắt lưng và tránh để BMP tiếp xúc với mô mềm ở cổ.

CHĂM SÓC HẬU PHẪU
Ngoài các vấn đề chăm sóc thường quy sau mổ, cần lưu ý các vấn đề sau:
1- Tắc nghẽn đường thở: Máu tụ sau mổ lượng nhiều: nên nghỉ đến đầu tiên. Có thể mở vết thương cấp cứu tại giường (trước khi chuyển đến phòng mổ). Xem xét khả năng bóc tách động mạch cảnh, vỡ các mạch máu đã được khâu, phù nề do huyết khối tĩnh mạch (hiếm).
A.Khó thở
B. Nuốt khó: mảnh xương ghép di chuyển ra trước chèn lên thực quản (Xquang cột sống cổ nghiêng để kiểm tra)
C.Khí quản bị đẩy lệch: có thể thấy được bằng mắt hoặc thấy được trên phim Xquang cột sống cổ thẳng.
2- Yếu cơ chi phổi bởi rễ thần kinh ở tầng được phẫu thuật. Ví dụ cơ nhị đầu đối với C5-6, cơ tam đầu với C6-7.
3- Dấu hiệu chèn các bó vận động dài (dấu Babinski…), gợi ý chèn ép tủy do máu tụ ngoài màng cứng tủy sống.
4- Khàn giọng: liệt dây thanh âm do tổn thương thần kinh thanh quản quặt ngược: tạm thời chưa cho ăn bằng đường miệng cho đến khi đánh giá đầy đủ hơn vấn đề liệt.

BIẾN CHỨNG
Tổn thương khi bộc lộ đĩa đệm:
A. Thủng hầu, thực quản và/hoặc khí quản: giảm thiểu tổn thương bằng cách dùng các van kéo tù cho đến khi cơ dài cổ được tách ra khỏi chỗ bám ở cột sống.
B. Liệt dây thanh âm: do tổn thương thần kinh quặt ngược thanh quản hay thần kinh lang thang. Tỷ lệ: 11% tạm thời, 4% vĩnh viễn. Triệu chứng bao gồm: khàn tiếng, thở khó, ho, cảm giác nghẹn, khó nuốt và mỏi dây thanh âm. Tránh dùng dụng cụ sắc nhọn để phẫu tích cơ cạnh khí quản. Một số trường hợp là do kéo vén khí quản kéo dài.
C. Tổn thương động mạch cột sống: rách hay huyết khối. Tỷ lệ 0,3%.
D. Tổn thương động mạch cảnh: huyết khối, tắc nghẽn hay rách (thường do kéo vén).
E. Dò dịch não tủy: thường rất khó vá trực tiếp. Đặt mảnh ghép cân cơ bên dưới mảnh xương ghép. Hậu phẫu nằm đầu cao, có thể dùng keo sinh học fibrin, dẫn lưu thắt lưng.
F. Hội chứng Horner: đám rối giao cảm nằm trong cơ dài cổ, do đó không phẫu tích quá nhiều ra bên các cơ này.
G. Tổn thương ống ngực: khi phẫu thuật cột sống cổ thấp, bên trái.
H. Huyết khối tĩnh mạch cảnh trong : hiếm. Chiếm 2-3% nguy cơ thuyên tắc mạch phổi. Lựa chọn : chống đông có thể giảm tử vong, lưới lọc tĩnh mạch chủ trên nếu chống chỉ định chống đông, lấy huyết khối qua da.

Tổn thương rễ thần kinh hay tủy sống
A. Tổn thương tủy sống: đặc biệt nguy cơ cao ở nhóm bệnh lý tủy do hẹp ống sống. Giảm nguy cơ này bằng cách lách vào chồi xương từ bờ ngoài của khoảng gian đốt sống (nhưng sẽ làm tăng nguy cơ tổn thương rễ).
B. Tránh quá ưỡn cổ khi đặt nội khí quản: nhân viên gây mê cần đánh giả khả năng thích ứng của các bệnh nhân này trước mổ. Dùng đèn soi bằng sợi quang học dẫn đường hay đặt nội khí quản đường mũi trong trường hợp cột sống quá khít hẹp.
C. Mảnh xương ghép phải ngắn hơn bề sâu thân sống. Lưu ý khi đóng mảnh ghép vào khe liên đốt.
D. Khi phẫu thuật tầng C3-4 cần lưu ý biến chứng nguy hiểm nhưng ít gặp là : ngưng thở lúc ngủ, có thể liên quan với nhịp tim chậm và mất ổn định hô hấp-tuần hoàn (có thể do phá vỡ thành phần hướng tâm của cơ chế điều hòa hô hấp trung tâm).

Vấn đề mảnh ghép xương:
A. Khớp giả: chiếm tỷ lệ 2 – 20%. Tỷ lệ cao với kỹ thuật đóng chốt (kỹ thuật Cloward) hơn với kỹ thuật đá đỉnh vòm của Bailey và Badgley hay kỹ thuật liên thân đốt của Smith-Robinson (10%) hay không ghép của Hirsch. Không cần điều trị nếu khớp giả không gây triệu chứng.
B. Biến dạng gập góc ra trước (gù): tỷ lệ khoảng 60% với kỹ thuật Cloward (có thể giảm bằng cách dùng nẹp cổ cố định). Có thể tiến triển ở kỹ thuật Hirsch khi lấy quá nhiều xương đốt sống.
C. Sự trồi của mảnh ghép: tỷ lệ 2% (hiếm khi cần phải phẫu thuật lại trừ khi nó chèn ép tủy ở phía sau hay chèn ép khí quản, thực quản ở phía trước).
D. Biến chứng chỗ lấy xương ghép: tụ máu hay tụ thanh dịch, nhiễm trùng, gãy xương chậu, tổn thương thần kinh bì đùi ngoài, đau dai dẳng do sẹo hay thủng ruột.

Các biến chứng khác:
A. Nhiễm trùng vết mổ < 1%.
B. Máu tụ sau mổ: bệnh nhân được mang nẹp cổ có thể làm phát hiện muộn biến chứng này.
C. Khàn tiếng và nuốt khó thoáng qua: thường gặp. Do bị co kéo và phù nề. Nếu phù nề nhiều có thể gây tắc nghẽn khí quản.
D. Thoái hóa tầng kế cận: còn nhiều bàn cãi, có thể là một di chứng của sự thay đổi sinh cơ học sau mổ, hoặc là do bệnh nhân có yếu tố dễ thoái hóa cột sống cổ. Nhiều trường hợp (70%) không có triệu chứng.
E. Không thoải mái sau mổ: cảm giác vướng trong cổ họng. Than phiền mỏi cổ, vai, các khớp (có thể tồn tại vài tháng). Có thể liên quan đến việc kéo giãn khoảng gian đốt sống
F. Hội chứng loạn dưỡng giao cảm phản xạ (hội chứng đau vùng phức tạp): hiếm được mô tả trong y văn, có lẽ do tổn thương hạch sao.
G. Tràn khí hoặc tràn máu màn phổi: tiếp cận C7-T1 hoặc thấp hơn và chạm vào đỉnh phổi

GIẢI ÉP CỘT SỐNG CỔ LỐI SAU
Không cần thiết nếu bệnh lý rễ một bên (sử dụng kỹ thuật lấy nhân đệm lối trước hoặc là mở bản sống bằng kỹ thuật lỗ khóa). Kỹ thuật bao gồm: cắt bỏ bản sống và mỏm gai để biến ống sống cổ từ hình “ống” sang hình “máng”.
Thường được chỉ định trong các trường hợp sau:
1- Bệnh lý đĩa đệm hay gai xương nhiều tầng (lấy nhân đệm lối trước chỉ điều trị 2 tầng, hoặc 3 tầng, không có bệnh lý tủy) kèm với bệnh lý tủy sống.
2- Bệnh lý phía trước cổ đi kèm với hẹp ống sống cổ, với tình trạng hẹp ống sống lan tỏa và/hoặc nghiêm trọng hơn.
3- Ở những ca sĩ hay phát thanh viên chuyên nghiệp không chấp nhận nguy cơ thay đổi giọng nói vĩnh viễn với tỷ lệ 4%, do tổn thương thần kinh quặt ngược thanh quản

MỞ BẢN SỐNG LỔ KHÓA LỐI SAU
Còn được gọi là “mở lỗ liên hợp lổ khóa”. Kỹ thuật này chỉ giải ép rễ thần kinh (không giải ép tủy sống) bằng cách tạo một “lổ khóa” nhỏ ở bản sống để làm rộng đường ra của rễ thần kinh.
Chỉ định
1- Bệnh lý một rễ thần kinh do mảnh rời đĩa đệm “mềm” phía sau – bên chèn ép (có thể có gai xương nhỏ cùng bên)
2- Bệnh lý rễ thần kinh ở ca sĩ hay phát thanh viên chuyên nghiệp không chấp nhận nguy cơ thay đổi giọng nói sau mổ.
3- Chèn ép rễ thần kinh cổ cao (C3 hay C4) hay cổ thấp (C7, C8, T1), nhất là ở những người có cổ ngắn mà vào lối trước khó khăn.
4- Bệnh nhân bị thoát vị đĩa đệm cổ không muốn hàn xương
Dự hậu
Cho kết quả từ tốt đến rất tốt, từ 90 – 96% ở nhiều nghiên cứu.

Nguồn: Mark S. Greenberg (2016), “Cervical Disc Herniation”, Handbook of Neurosurgery 8th edition, Thieme Medical Publishers, NewYork
BS. Trương Văn Trí và đồng nghiệp biên dịch
Mọi góp ý xin gởi về: drtruongtri@gmail.com. Cám ơn!