U NGUYÊN BÀO THẦN KINH ĐỆM
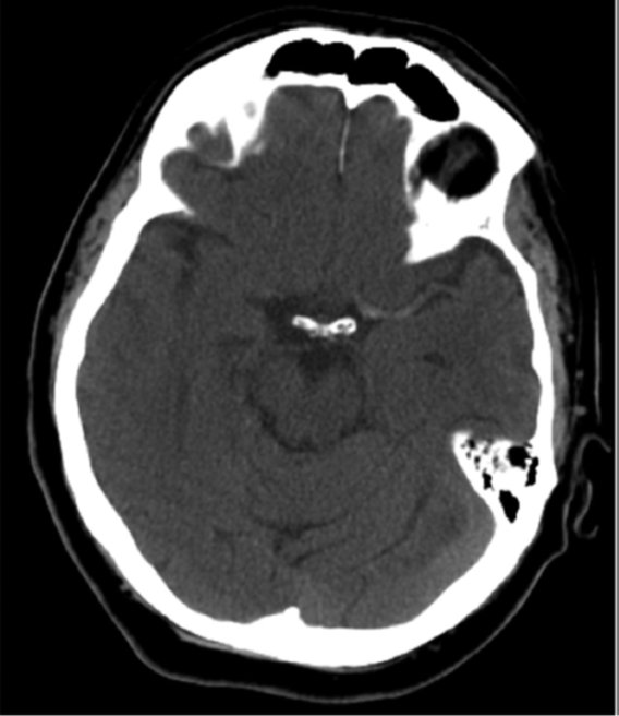
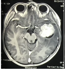
Dịch tễ học U não tiên phát ác tính vẫn là một thách thức trong y khoa. U nguyên bào thần kinh đệm (còn gọi là u tế bào thần kinh đệm độ IV, u sao bào độ IV) là u não tiên phát phổ biến và ác tính nhất. U nguyên bào thần kinh đệm là hình ảnh thu nhỏ của một nhóm u tế bào thần kinh đệm […]



